
在高血压的发病机制中,遗传和环境是两个主要的影响因素。许多研究者认为,尽管遗传倾向能决定是否发展成高血压,而环境因素则*终决定血压升高的水平...
2021-11-04
通过代谢组学方法研究环磷酰胺对小鼠免疫抑制过程中代谢途径的变化...
2021-11-03
精神分裂症是精神科常见的重型精神疾病,致残率极高,也是疾病负担*重的精神障碍之一,其终生患病率约占整个人口的1%。...
2021-11-03
夹住狗的肾动脉的急性肾功能衰竭模型:在肾脏中,向一只10至20公斤的雄性狗静脉注射30毫克/公斤的戊巴比妥钠以麻醉左侧...
2021-11-03
佩尔斯特病(Perthes disease)即儿童股骨头缺血坏死,系股骨头血运障碍所致的股骨头骨骺部分或全部坏死,病变静止后常遗留股骨头扁平状畸形,影响髋关节功能...
2021-11-03
血友病是由遗传性凝血功能障碍引起的疾病...
2021-11-03
观察和比较不同性别和注射剂量对异丙肾上腺素(ISO)引起的大鼠心肌肥大的影响...
2021-11-03
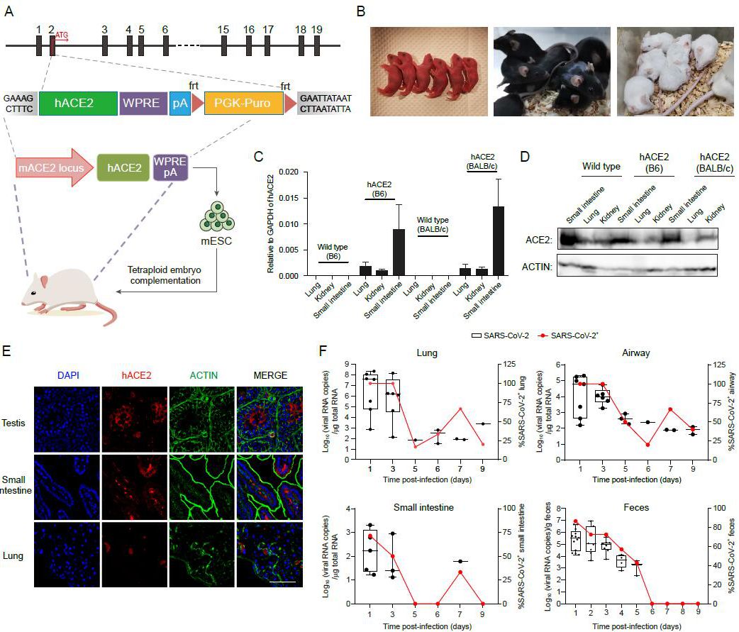
为打赢抗击新冠肺炎疫情之战,制备用于新冠肺炎药物开发和疫苗测试的动物模型迫在眉睫...
2021-11-03
饲养方法将成年大鼠禁食24小时,不浇水2小时,麻醉以打开腹部,暴露十二指肠,将内径为3至6 mm的玻璃管或乳胶管放置在靠近大鼠的地方...
2021-11-03
急性缺血会延迟心房缺血区域的冲动传导,促进折返,并导致心房颤动的发展...
2021-11-03
肝脏是结直肠癌转移的主要靶器官,结直肠癌肝转移也是结直肠癌患者死亡的主要原因...
2021-11-03
微型猪在动脉解剖和生理方面与人类非常相似,是目前研究动脉粥样硬化(AS)相关疾病*理想的模型...
2021-11-03
建立C57BL/6小鼠抑郁模型,初步探究莫扎特K448奏鸣曲中的高频段声波改善C57BL/6 小鼠抑郁症状的效果...
2021-11-03
BALB/c小鼠,放置在每升空气中含有5mg的氯仿的环境中,持续3h后,可引起不同程度的肾坏死...
2021-11-03
由于糖皮质激素的扩散,激素性股骨头坏死的发生率逐年增加,但其病因和预防措施仍不清楚...
2021-11-03
细胞的吞噬作用在单细胞动物是摄取营养物质的方式,在高等动物内的巨噬细胞、单核细胞和中性粒细胞等具有吞噬功能,是机体非特异性免疫功能的重要组成部分...
2021-11-03