
疟疾和Berkit淋巴瘤之间的联系*早是在50年前就得到了解释,但是寄生虫感染使免疫细胞癌变的机制始终是个谜...
2020-09-19
这项研究是有争议的,因为它使用鸡进行测试,一些科学家认为,鸡疫苗接种与人类的关系不大,他们担心这一结果引起公众对疫苗价值和安全性的怀疑...
2020-09-19
法国国立卫生科学研究所(INSERM)和巴黎第五大学等研究人员*近的研究表明,微生物区系可以保护人体免受1型糖尿病的侵害...
2020-09-19
血清素是一种调节情绪和心理状态的神经递质,并与包括抑郁症在内的许多神经系统和精神疾病有关...
2020-09-19
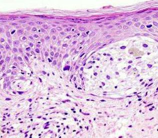
有黑色素细胞在皮肤中积累,黑色素是由黑色素细胞分泌的...
2020-09-19
在*近对抗埃博拉病毒的斗争中已经出现了一些好消息:临床前测试VSV-EBOV(以前称为rVSV/ZEBOV-GP)疫苗在非人类灵长类动物中的功效...
2020-09-19
儿童脑瘫是儿童残疾的*常见原因,从历史上看,它被认为是由分娩窒息,中风,婴儿大脑发育感染和其他因素引起的...
2020-09-19
埃博拉病毒是高致病性,高致死性的,缺乏有效的药物和疫苗,并可能在人类和非人类灵长类动物中引起严重的急性出血热...
2020-09-19
血友病患者通常生活在压力和焦虑中,当患者的关节过早断裂且身体流血时,很难止血...
2020-09-19
恶性肿瘤的早期成像对于癌症患者的临床诊断和治疗至关重要,并且是全球基础肿瘤学研究和临床研究的长期挑战...
2020-09-19
如果通过显微镜观看,你会看到一段人类心脏跳动的影像资料,每个心脏都在驱动着其心室运动。这些微型器官的直径仅有1毫米,它是科学家首次利用单独干细胞制成的三维“心脏形”器官...
2020-09-19
大脑的视觉通道由数百万个相互连接的神经元组成,并且当发送感觉信号时,神经元之间的连接变得非常牢固...
2020-09-19
研究人员报告说,发现了一种新的可吸入埃博拉疫苗,该疫苗可以单剂预防猴类中的致命病毒...
2020-09-19
美国科学家已经对人类皮肤中提取的多能干细胞进行了基因重排,以与人类心脏细胞一起培养微文氏管...
2020-09-19
随着年龄的增长,几乎每个人都会发胖,但有些人可能认为他们的基因有更多的脂肪...
2020-09-19
糖尿病患者必须忍受反复注射胰岛素的痛苦美国北卡罗来纳州立大学(UNC)的一项新发明可能会结束这种折磨...
2020-09-19