炎症是机体对感染或损伤的免疫反应,涉及免疫细胞产生细胞因子激活下游信号通路。急性肾损伤(AKI)是一种快速肾功能下降的病症,与肾脏和全身炎症相关,常由败血症、毒素或肾缺血/再灌注引起。巨噬细胞作为适应性先天免疫细胞,在炎症反应中起关键作用。RNA修饰,特别是N7-甲基鸟苷(m7G)修饰,已知在多种生物学过程中发挥作用,但其在巨噬细胞和炎症中的作用尚不清楚。本研究旨在探索METTL1介导的m7G修饰在巨噬细胞中的作用及其在炎症反应中的功能。安徽医科大学孟晓明、沈玉先等人研究团队深入研究METTL1介导的m7G甲基化在巨噬细胞中的作用,特别是在急性炎症和多器官损伤中的功能。文章通过一系列实验,揭示了METTL1在巨噬细胞中的表达上调与炎症反应的关系,并提出了METTL1作为潜在治疗靶点的可能性。相关内容以“METTL1- mediated m7G methylation of Sarm1 mRNA promotes macrophage inflammatory responses and multiple organ injury”为题发表在《Science Immunology》上。

【主要内容】

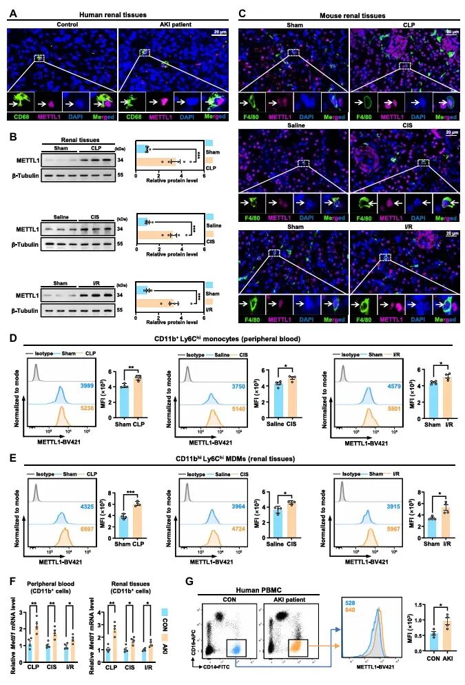
图1:METTL1在AKI中单核细胞/巨噬细胞中的表达上调
通过免疫荧光染色发现,METTL1与CD68(巨噬细胞标记物)在人类和小鼠的肾组织中共定位。在小鼠模型中,无论是通过盲肠结扎穿孔(CLP)诱导的败血症、肾缺血/再灌注(I/R),还是顺铂(CIS)诱导的肾毒性,均观察到METTL1蛋白在肾组织中的表达增加。此外,流式细胞术分析显示,在AKI小鼠的外周血和肾脏组织中,Ly6Chi单核细胞和MDMs中的METTL1蛋白水平显著升高。在人类中,与健康供体相比,AKI患者外周血中CD14+CD16−经典单核细胞的METTL1蛋白水平也显著上调。这些结果表明,METTL1在AKI中单核细胞/巨噬细胞中的表达上调,提示其可能参与炎症反应。

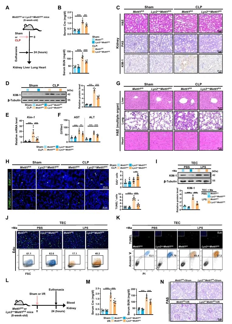
图2:髓系细胞中METTL1的缺失减轻了CLP诱导的多器官损伤和I/R诱导的AKI
通过构建METTL1基因敲除小鼠模型(Lyz2creMettl1fl/fl),研究了METTL1在髓系细胞中的作用。在CLP诱导的败血症模型中,与对照组(Mettl1fl/fl)相比,METTL1敲除小鼠显示出更轻的肾功能障碍,表现为血清肌酐(Cre)和尿素氮(BUN)水平降低,肾脏病理损伤减轻,肾损伤分子1(KIM-1)表达降低。此外,METTL1敲除小鼠的肝脏、肺和心脏在败血症期间的组织损伤和细胞凋亡也显著减少。在I/R诱导的AKI模型中,METTL1敲除同样减轻了肾损伤。这些结果表明,髓系细胞中METTL1的缺失对炎症诱导的多器官损伤具有保护作用。

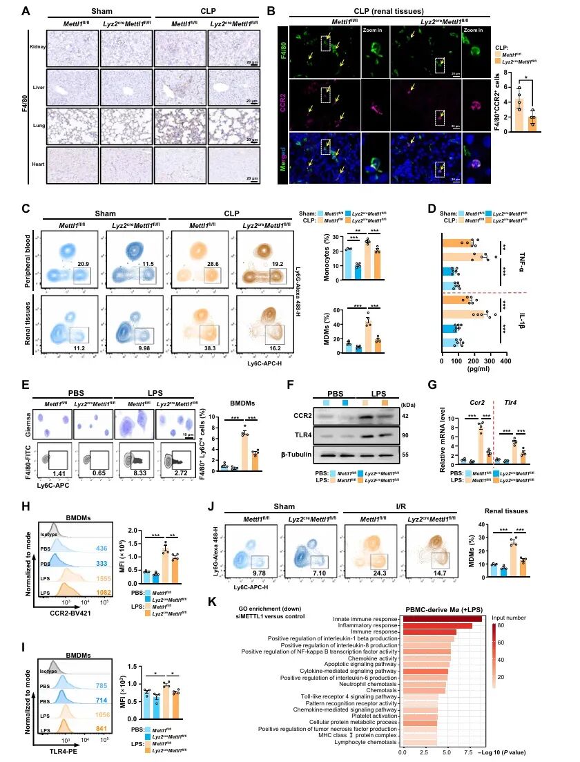
图3:髓系细胞中METTL1的缺失抑制了Ly6Chi巨噬细胞的浸润和分化
在CLP诱导的败血症模型中,与对照组相比,METTL1敲除小鼠的多个器官(肾脏、肝脏、肺和心脏)中F4/80+巨噬细胞的数量显著减少,且肾脏中F4/80+CCR2+巨噬细胞的数量也降低。流式细胞术分析显示,METTL1敲除小鼠的MDMs中CCR2和TLR4的表达降低,表明METTL1的缺失影响了巨噬细胞的迁移和激活。此外,METTL1敲除小鼠的血清中肿瘤坏死因子-α(TNF-α)和白细胞介素-1β(IL-1β)水平降低,提示METTL1在调节巨噬细胞的炎症反应中起关键作用。

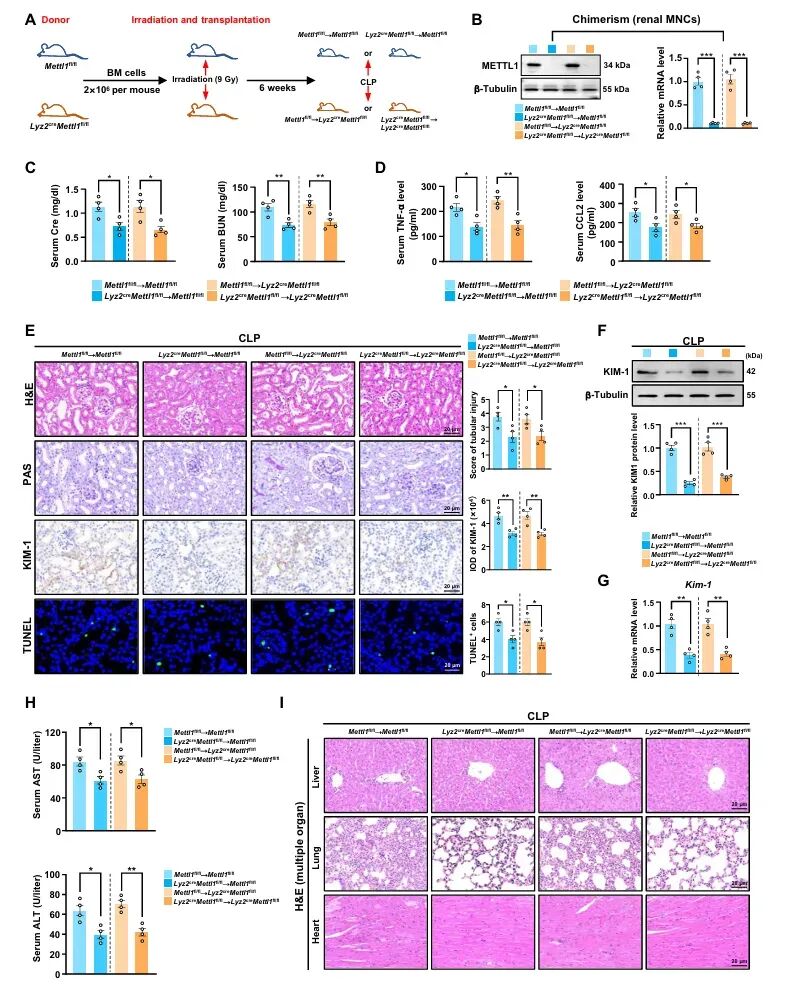
图4:移植METTL1缺陷骨髓减轻了小鼠的AKI
将METTL1fl/fl和Lyz2creMettl1fl/fl小鼠的骨髓细胞进行互换移植,6周后对受体小鼠进行CLP诱导的败血症。结果显示,接受METTL1缺陷骨髓的小鼠在CLP后血清Cre和BUN水平降低,肾脏损伤减轻,血清中TNF-α和CCL2水平降低。此外,接受METTL1缺陷骨髓的小鼠在多个器官中显示出更少的F4/80+巨噬细胞浸润和更低的KIM-1表达。这些结果表明,髓系细胞中METTL1的缺失对败血症诱导的多器官损伤具有保护作用,且这种保护作用可以通过骨髓移植实现。

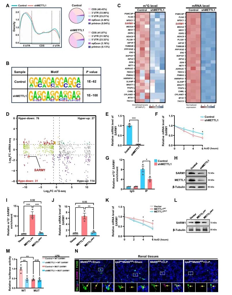
图5:Sarm1 mRNA是METTL1介导的m7G甲基化的靶点
通过RNA测序和m7G甲基化测序,发现METTL1敲除后,Sarm1 mRNA的m7G修饰减少,其mRNA和蛋白水平均降低。此外,通过甲基化RNA免疫沉淀(MeRIP)-qPCR实验,证实了Sarm1 mRNA的m7G修饰依赖于METTL1。在METTL1敲除的巨噬细胞中,Sarm1 mRNA的稳定性降低,导致其蛋白水平下降。这些结果表明,Sarm1 mRNA是METTL1介导的m7G修饰的靶点,这种修饰增强了Sarm1 mRNA的稳定性,进而影响巨噬细胞的炎症反应。
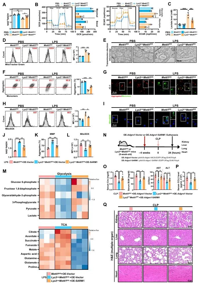
图6:METTL1通过SARM1介导的NAD+消耗促进巨噬细胞代谢重编程
研究发现,METTL1缺失的巨噬细胞在LPS刺激后显示出更高的NAD+/NADH比值,表明NAD+水平增加。此外,这些巨噬细胞的氧气消耗率(OCR)增加,而细胞外酸化率(ECAR)降低,表明代谢从糖酵解转向氧化磷酸化。METTL1缺失的巨噬细胞中乳酸水平降低,线粒体质量减少,线粒体膜电位(MMP)增加,活性氧(ROS)产生减少。这些结果表明,METTL1通过SARM1介导的NAD+消耗促进巨噬细胞的代谢重编程,进而影响其炎症反应。
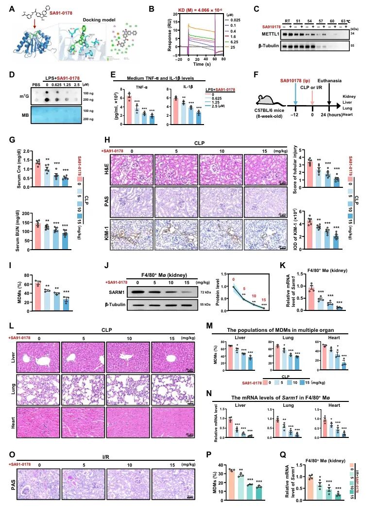
图7:METTL1抑制剂SA91-0178对CLP诱导的多器官损伤和I/R诱导的AKI的保护作用
在体外实验中,SA91-0178显著抑制了LPS诱导的巨噬细胞中m7G修饰的增加,降低了TNF-α和IL-1β的分泌。在体内实验中,SA91-0178预处理的小鼠在CLP或I/R诱导的损伤后,血清Cre和BUN水平降低,肾脏损伤减轻,巨噬细胞浸润减少,SARM1蛋白和mRNA水平降低。此外,SA91-0178在损伤后24小时给药也能显著减轻多器官损伤,降低TNF-α水平。这些结果表明,SA91-0178作为一种METTL1抑制剂,对急性炎症和多器官损伤具有保护作用。
【全文总结】
本研究通过一系列实验,揭示了METTL1在巨噬细胞中的表达上调与炎症反应的关系。研究发现,在急性肾损伤(AKI)患者和小鼠模型中,METTL1表达显著增加,特别是在Ly6Chi单核细胞和MDMs中。METTL1基因敲除减轻了CLP诱导的多器官炎症和I/R诱导的肾损伤,减少了炎症细胞因子的产生和巨噬细胞的浸润。进一步的机制研究发现,Sarm1 mRNA是METTL1介导的m7G修饰的靶点,这种修饰增强了Sarm1 mRNA的稳定性,导致NAD+失衡,进而影响巨噬细胞的代谢重编程。此外,研究还发现特定的METTL1抑制剂SA91-0178能够减轻炎症反应和组织损伤,显示出作为治疗急性炎症疾病的潜在药物的潜力。这些发现为开发针对系统性炎症和多器官损伤的新疗法提供了理论基础。