背景:视网膜病变仍然是糖尿病*具破坏性的并发症之一。基础科学和临床研究在理解这种盲症复杂的病理生理机制方面取得了长足的进步,但确切的机制仍然未知,有效的治疗方法仍然未知。糖尿病视网膜和毛细血管细胞会增加氧化应激,并可能导致线粒体损伤。除了毛细血管细胞外,还观察到其他视网膜细胞,包括光感受器和视网膜色素上皮细胞,也会增加氧化应激。抗氧化剂包括硫辛酸,它补充抗氧化剂,可以预防糖尿病大鼠的糖尿病视网膜病变。除了氧化应激,视网膜还表现出许多与其他炎症性疾病一致的异常。血管内皮生长因子 (VEGF) 是血管通透性和血管生成中的重要血管生成因子,在糖尿病患者和动物的视网膜和玻璃体内升高。这种增加与糖尿病视网膜病变的症状有关。氧化还原敏感的核转录因子-B 和F-κB 被激活,这对生长因子和细胞因子的表达、促炎介质如白细胞介素 1β (IL-1β) 和细胞粘附的调节至关重要。分子 1 (ICAM-1) 增加。动物模型表明,阻止糖尿病视网膜病变发展的抗氧化剂可以阻止视网膜F-κB 和 IL-1β 的增加。与其他组织相比,高含量的多不饱和脂肪酸,加上*高的氧摄取和葡萄糖氧化,使视网膜对氧化应激非常敏感。玉米黄质对糖尿病大鼠的应用已被证明能够预防视网膜氧化应激和促炎细胞因子 VEGF 和 ICAM-1 的增加。抗氧化剂,包括维生素 C 和维生素 E、β-胡萝卜素、N-乙酰半胱氨酸和其他微量营养素,可抑制糖尿病视网膜病变的发展。本研究的目的是研究营养补充剂对糖尿病视网膜病变的影响。采用糖尿病视网膜病变动物模型研究多组分营养素对视网膜毛细血管细胞凋亡、毛细血管变性及细胞功能的影响。为了研究补充剂对线粒体功能障碍的改善作用,我们量化了炎性细胞因子的基因表达、编码细胞色素 b 和D1 的 DNA,以及 VEGF、IL-1β 和F-κB 的表达水平。
方法:Wistar大鼠(雄性,200-225g)用链脲佐菌素诱导糖尿病,分为两组。大鼠组 1 (Prina 5001) 中的多种膳食补充剂含有类胡萝卜素。 eyepromiseDVS 专门用于改善视网膜的结构和功能,目前用于糖尿病患者视觉功能的临床试验。维生素 C 营养素(抗坏血酸,300 毫克),维生素 D3(胆钙化醇,10000 IU),维生素 E(维生素 E,300 IU),鱼油 ee 70?1.6 克),EPA(20 碳五烯酸,650 毫克), DHA(二十二碳六烯酸,500 毫克)、苯磷硫胺(1 克)、α-硫辛酸(750 毫克)、tocomin(200 毫克)、玉米黄质(40 毫克)、叶黄素(20 毫克),专利配方含有 300 粒白藜芦醇。绿茶、姜黄、N-乙酰半胱氨酸、松树皮、葡萄籽提取物、辅酶 Q10 锌(2.65g)、大豆油。第二组大鼠接受不添加补充剂的 Prina 饮食 (DIAB),并使用与对照组相同年龄的正常大鼠。在整个研究期间(11 个月),糖尿病大鼠的平均每日摄入量为 50 克。实验开始 11 个月后,大鼠被二氧化碳窒息杀死。一只眼睛悬浮在 10尔马林中并用胰蛋白酶消化以制备视网膜微血管,另一只眼睛的视网膜被解剖以量化常规生化参数。取出肝脏并通过 HPLC 确认一些主要成分的吸收。
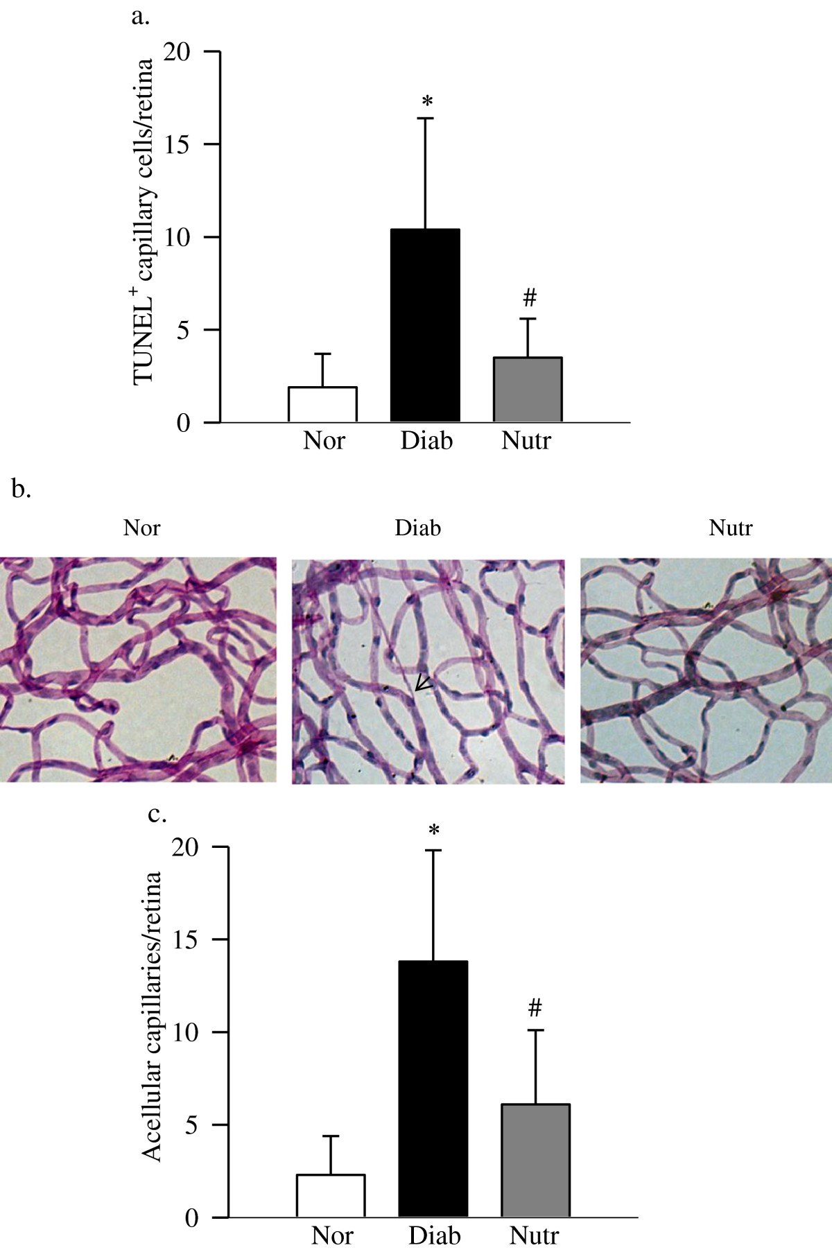
视网膜毛细血管细胞凋亡和组织病理学:从福尔马林固定的眼睛中分离视网膜并用水冲洗过夜。用含 200 mM 氟化钠的 3胰蛋白酶在 37°C 下消化视网膜 45-70 分钟以分离毛细血管。通过末端脱氧核糖核苷酸转移酶制剂 (TDT) 使用 dUTP 缺口标记染色 (TUNEL 方法) 检测凋亡血管细胞。在 TUNEL 反应开始之前,视网膜血管被 DNase 暴露作为阳性对照。 TUNEL 染色、希夫高碘酸盐和苏木精染色的血管和组织学评估。计算视网膜中央区域无细胞毛细血管的数量,并将它们表示为视网膜中的无细胞毛细血管。
功能分析:通过测量视网膜电图(ERG)测量4个月后糖尿病大鼠的视网膜功能。大鼠适应黑夜,用氯胺酮和甲苯噻嗪麻醉,用 1吡卡胺和 2.5酸去氧肾上腺素散瞳。将老鼠放在加热平台上, 用直肠温度计监测体温。 A 波和 b 波振幅的测量方法是将银眼放在穿过角膜表面的 1基纤维素薄层嵌入的螺纹电极上。位于尾部和脸颊上的针电极分别用作接地电极和参考电极。通过 2,7'-二氯二乙酸酯的荧光光谱定量活性氧 (ROS)。将蛋白质 (5-10 μg) 与含有 2uM DCHFDA 的 PBS 孵育 10 分钟。在 485m 和 530m 的波长下测量荧光。决定视网膜的抗氧化能力。 Mitochondrial Genome-Specific PCR Quantitative Elongation 和 03XLPCR Kit 确定线粒体 DNA 损伤的程度。通过ELISA定量VEGF、NF-κB和IL-1β的表达。
结果:含有类胡萝卜素的膳食补充剂可防止糖尿病视网膜病变加速毛细血管细胞凋亡和组织病理学:正如预期的那样,在 11 个月大的糖尿病大鼠中,3 个视网膜血管中有 4 个 TUNEL 阳性细胞。退化的毛细血管。含类胡萝卜素的膳食补充剂可改善糖尿病引起的毛细血管细胞凋亡,正常膳食大鼠TUNEL阳性毛细血管细胞数量与糖尿病大鼠相同。在用膳食补充剂治疗的糖尿病大鼠中,与没有膳食补充剂的大鼠相比,视网膜血管中退行性毛细血管的数量显着减少。通过 ERG 测量评估视网膜功能。图 2 显示,在视网膜电图反应延迟的糖尿病大鼠中,A 波和 B 波的振幅显着降低。 A 波和 B 波振幅的减少是由于接受了补充营养的饮食。
接受膳食补充剂的糖尿病大鼠视网膜氧化应激和线粒体损伤增加:与年龄匹配的正常大鼠相比,糖尿病大鼠视网膜中ROS水平显着增加,总抗氧化能力也显着降低。然而,与非糖尿病糖尿病大鼠相比,补充糖尿病大鼠的OS 水平显着降低,抗氧化能力增强。与未接受膳食补充剂的糖尿病大鼠相比,接受膳食补充剂的糖尿病大鼠还可以防止线粒体损伤并显着增加线粒体 DNA 的基因表达,线粒体 DNA 编码电子传递链中的一种蛋白质。与正常大鼠相比,糖尿病大鼠视网膜中D1、ND6 和 Cytb 的水平降低了约 40-80?接受膳食补充剂的糖尿病大鼠阻止了这种下降。使用
营养补充剂可以保护视网膜免受炎症介质的增加:糖尿病大鼠视网膜血管内皮生长因子的水平比正常大鼠增加50?视网膜血管内皮生长因子的增加是由营养素改善的补充。炎症被认为是糖尿病视网膜病变的主要原因。
营养并不能改善糖尿病大鼠高血糖的严重程度:与未供应的糖尿病大鼠相比,营养大鼠肝脏样本中主要营养素的分析是基于α-生育酚的时间(36 μg/g 至 74 μg/g ),叶黄素增加了 3 倍(0.02 微克到 0.06 微克),玉米黄质增加了 9 倍(0.008 微克到 0.07 微克/克),表明水平增加了 2 倍。
结论:我们的数据表明,长期糖尿病患者,膳食补充剂可以保护神经和血管细胞,抑制视网膜病变的发展,同时保持视网膜的结构和功能。我会的。它可以通过改善炎症介质的增加和维持线粒体稳态来实现,从而保护视网膜免受线粒体损伤的自我扩散良性循环。
