众所周知,新冠状病毒(CoV)被命名为COVID-19病毒,已经在全球横行了近半年时间,严重危害了人类的生命健康及阻碍社会的经济发展。但是目前仍然没有针对性的治疗方法,许多关于COVID-19流行病学和临床特征的研究已经发表,但是由于其人传人的感染性和遗传物质的突变性,导致前期几乎无法进行尸检或活组织切片检查,使得本病的病理资料十分匮乏,致使不能给临床治疗提供新思路。为了填补这方面的空缺,近几个月来中国学者在经授权后陆续发表新冠毒患者的部分病理研究报告。
武大中南医院4例中老年COVID-19肺炎患者的组织病理结果
4月14日,武汉大学中南医院放射科的廖美焱医生和芝加哥大学的病理学家肖书渊博士及其团队在Modern Pathology上发表题为Pathological study of the 2019 novel coronavirus disease (COVID-19) through postmortem core biopsies的医学研究报告,公布4例死于新冠病毒患者尸检的组织病理结果,为研发治疗方案提供新思路。
实验对4例年龄介于59~81岁的COVID-19肺炎患者进行了死后肺、肝和心脏穿刺活检。每个患者至少有一种潜在疾病,包括免疫缺陷状态(慢性淋巴细胞白血病和肾移植)或其他情况(肝硬化、高血压和糖尿病),从发病到死亡的时间从15天到52天不等。经检查发现所有患者的白细胞计数均升高,并在接近结束时显著升高,除白血病患者外,所有患者均出现淋巴细胞减少组织病理学观察主要表现在肺,包括肺泡上皮细胞损伤、透明膜形成、II型肺细胞增生,均为弥漫性肺泡损伤的组成部分。纤维母细胞增生、细胞外基质和纤维蛋白在空气中的聚集是很明显的。
该研究发现COVID-19肺炎的病理基础是部分患者的DAD(机化/纤维化期)晚期和过度感染的细菌性肺炎,早期器官化明显但无明显纤维化。总之,尸检显示弥漫性肺泡损伤晚期,部分患者合并细菌性肺炎,肝脏和心脏的变化可能是继发性的,或与潜在疾病相关。

4例患者在时间上的白细胞、中性粒细胞、淋巴细胞计数
(A) 病例1淋巴细胞计数升高与她的慢性淋巴细胞白血病病史一致;
(B、C、D) 病例2、3、4例淋巴细胞明显减少
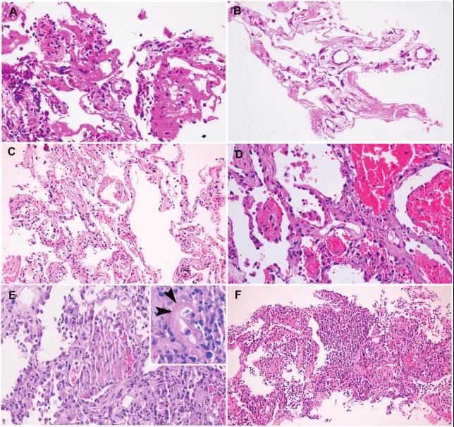
肺的组织病理学观察
(A) 病例1: 厚玻璃样膜伴脱屑性肺细胞和单核炎性细胞;
(B) 病例2: 透明质膜较细腻,无明显炎性浸润;
(C) 病例3: 局灶性透明膜,II型肺细胞增生,间质轻度增厚;
(D) 病例4: 肺泡腔充盈红细胞渗出物,相邻肺泡可见小纤维蛋白栓;
(E) 肺泡内成纤维细胞混合纤维蛋白和炎症性细胞浸润的器官化,背景弥漫型肺细胞增生(插图:纤维蛋白样血管坏死,箭头所指;
(F) 支气管肺炎伴有明显中性粒细胞浸润的改变,肺泡腔充盈。

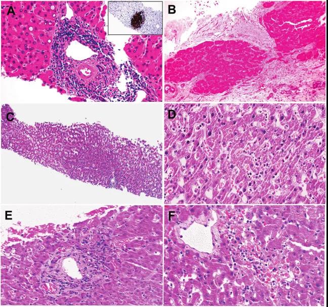
4例患者的肝脏病理观
(A) 病例1非典型小淋巴细胞(插入:CD20免疫染色)密集的门脉浸润,肝细胞中局灶性糖原化核;
(B) 病例2肝硬化结节伴厚性纤维化;
(C) 轻度窦样扩张伴淋巴细胞浸润增加;
(D) 高倍镜显示淋巴细胞;
(E) 门脉周围局灶性肝坏死;
(F) 病例4出现局灶性肝小叶中央坏死。
肺切除腺癌患者早期COVID-19的肺病组织病理报告
2月20日,肖书渊博士及其团队曾在已经在Journal of Thoracic Oncology上发表过题为Pulmonary pathology of early-phase 2019 novel coronavirus (COVID-19) pneumonia in two patients with lung cancer的论文,报告2例肺切除腺癌患者早期COVID-19的肺病理学改变情况。病理检查发现,除肿瘤外,两例患者均有肺水肿、蛋白样渗出物、局灶性反应性肺细胞增生伴炎性细胞浸润斑片状、多核巨细胞浸润。透明膜不明显。两例患者在手术时均未表现出肺炎症状,这些变化可能代表了COVID-19肺炎肺部病理的早期阶段。

病例1COVID-19肺炎的组织病理学改变
(A)肺泡内渗出蛋白质,具颗粒;
(B)分散的大蛋白球(箭头);
(C)肺泡内纤维蛋白早期组织,有单核炎细胞和多核巨细胞;
(D)增生性肺细胞,部分有可疑的病毒包涵体(箭头。
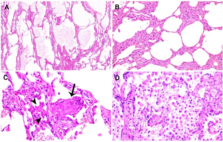
病例2 COVID-19肺炎的组织病理学改变
(A)明显的蛋白和纤维蛋白渗出物;
(B)成纤维细胞增生、II型肺细胞增生导致肺泡壁和隔膜弥漫性扩张,与早期弥漫性肺泡损伤(DAD)模式一致;
(C)间质中增殖的成纤维细胞或成纤维细胞球的栓塞(箭头);
(D)大量巨噬细胞浸润,II型肺细胞增生。
首例COVID-19患者遗体病理结果
2月17日,中国人民解放军总医院第五医学中心的王福生院士及赵景民教授及其团队在Lancet Respir Med 上发表题为“Pathological findings of COVID-19 associated with acute respiratory distress syndrome”的报道,是世界上首例COVID-19患者遗体病理检查结果,主要介绍了一例新冠患者的诊疗经过及COVID-19相关性急性呼吸窘迫综合征的病理表现:患者在去世时的肺脏病理提示处于DAD的渗出期,肺病理中未见明显的机化、肺纤维化。

SARS-CoV-2致重症肺炎患者右(A)、左(B)肺组织、肝组织(C)、心脏组织(D)的病理表现
总体而言,以上报道新冠患者的病理学分析,不仅可以为研究SARS-CoV-2相关肺炎的发病机理提供新的见解,也将帮助医生制定此类重症病人的及时治疗策略,减少死亡率。同时,为进一步了解COVID-19的发病机制,我们需要更多不同年龄、不同生理背景的患者参与研究。此外,需要建立适当的动物模型,不仅模仿感染本身,而且模仿人类疾病进展的模式,这样才能更好更快的战胜病毒。
▎参考文献:
https://doi.org/10.1016/S2213-2600(20)30076-X
https://doi.org/10.1016/j.jtho.2020.02.010
https://doi.org/10.1038/s41379-020-0536-x